「症例集」の記事一覧
-
-
【小児矯正】子供の歯並び、八重歯が気になる インビザラインファーストの治療症例
治療前 治療後 年齢・性別 9歳・女性 相談内容 前歯の歯並びを治したい。 行っ ...
-
-
【小児矯正】子供の八重歯を改善した症例 インビザラインファーストの治療症例
治療前 治療後 年齢 10歳 相談内容 子供の八重歯が気になる 綺麗な歯並びにし ...
-
-
【小児矯正】子供の出っ歯が気になる インビザラインファーストの治療症例
治療前 治療後 年齢・性別 9歳・女性 相談内容 出っ歯を治したい。永久歯が生え ...
-
-
前歯が出ていて気になる 前歯が咬んでいない インビザライン治療のケース
治療前 治療後 年齢・性別 31歳・女性 相談内容 前歯が出ていて気になる 前歯 ...
-
-
出っ歯が気になる/インビザライン矯正のケース
治療前 治療後 年齢・性別 24歳・男性 相談内容 出っ歯を治したいが、なるべく ...
-
-
歯並びが気になる/ガタつきが気になる インビザライン矯正のケース
治療前 治療後 年齢・性別 25歳・女性 相談内容 歯並びが全体的に悪く、ガタつ ...
-
-
メタルフリー治療。ジルコニアクラウンを奥歯に作製
治療前 治療後 年齢・性別 50代女性 相談内容 奥歯に古い銀の詰め物が入ってい ...
-
-
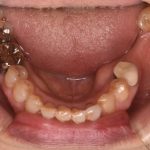
歯が無い所にインプラントを入れたい
治療前 治療後 年齢・性別 60代 女性 相談内容 歯が無い所にインプラントを入 ...
-
-
前歯の根元の黒いところが気になる 古い被せ物をセラミックに変えた症例
治療前 治療後 年齢・性別 40代女性 相談内容 前歯の黒いところが気になる カ ...
-
-
歯が欠けて物が詰まりやすい ダイレクトボンディングによる虫歯治療
治療前 治療後 性別 女性 相談内容 歯が欠けた カウンセリング・診断結果 プラ ...
