皆さま、はじめまして。
マイデンタルオフィス藤が丘、院長の品田悠太です。
皆さまは今まで歯科医院で十分な説明がないまま治療されたり、自分のお口の状態がわからない、といった経験をしたことはありませんか?
当院ではそのようなことがないように配慮しています。
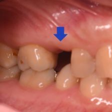
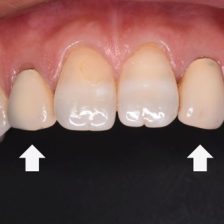
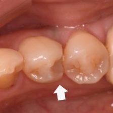
治療の前にはマイクロスコープや一眼レフカメラでお口の中を撮影して、現状をご確認いただきます。さらに患者さまのお悩みやご希望をしっかりうかがい、的確な治療法をご提案いたします。
また、当院では予防歯科に力を入れていてオーダーメイド型の予防プログラムをご提案させていただきます。
感染症対策も徹底し、地域の皆さまに「ここに来れば大丈夫」と思っていただけるような歯科医院となれるよう努めてまいります。
 
 






 
 
 
 
 
 
	
	
 
 
 
 
 
 
 
 保存治療
保存治療 むし歯治療
むし歯治療 歯周病治療
歯周病治療 根管治療
根管治療 小児歯科
小児歯科 予防歯科
予防歯科 矯正歯科
矯正歯科 審美歯科
審美歯科 保険適用の白い歯
保険適用の白い歯 ホワイトニング
ホワイトニング インプラント
インプラント 入れ歯治療
入れ歯治療 歯ぎしり
歯ぎしり 顎関節症
顎関節症 かみ合わせ治療
かみ合わせ治療 親知らずの抜歯
親知らずの抜歯 口の中の
口の中の 睡眠時無呼吸
睡眠時無呼吸 スポーツ
スポーツ マタニティ歯科
マタニティ歯科 高齢者歯科
高齢者歯科 障害者
障害者 横浜市
横浜市 セカンド
セカンド 治療の流れ
治療の流れ 症例集
症例集 料金表
料金表 
									 
									 
									 
									 
									




 
 
 
 
 
 
 
 
 
 
 
 
 
 
