料金表
お支払方法について
現金(一括)
診断日にご契約・入金が完了すると最短で治療を開始することができます。
クレジットカード(一括)
各種クレジットカード対応、設定限度額の確認をお願いいたします。
デンタルローン(分括)
金利5.8%
分割回数2~96回
※契約日に審査申込をお願いします(30分程度)
受付にてサポートさせていただきます
ご希望の方には詳しいご案内をご用意しておりますのでお声掛けください
保険診療の詰め物について
「保険でしっかり治したい」「まずは保険診療の範囲で…」という方へ。
当院では保険診療においても、できる限り見た目や機能に配慮した治療を行っています。
銀
強度が高く、奥歯に適している
金属色で目立つ、金属アレルギーになる可能性がある
銀が錆びると2次虫歯のリスクが生じる
保険適用:◎
プラスチック
保険内で白くできる、プラスチックの被せ物
吸水性があるため劣化による脱離、変色が起こり得る
汚れが付きやすい
保険適用:◎(一部制限あり)
保険補綴の比較表
| 種類 | 見た目 | 耐久性 | 金属使用 | 費用目安 |
|---|---|---|---|---|
銀 |
✕(銀色) |
◯ |
あり |
¥4,000前後 |
プラスチック |
△(白いが変色) |
△ |
なし |
¥2,000前後 |
保険でもしっかり治療はできますが材質上、経年劣化が起こります。
銀の錆びてしまった部分、プラスチックの欠けてしまった部分から2次むし歯になる可能性が高いです。
「もっと自然にしたい」「被せ物を長持ちさせたい」「2次むし歯にならずに歯の寿命をのばしたい」という方には、自由診療の詰め物をお勧めしております。。
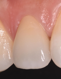
自由診療の詰め物について
種類 |
写真 |
対象部位 |
特長 |
費用(税込) |
|---|---|---|---|---|
セラミックインレー |
![]() |
小臼歯、大臼歯 |
・ガラスセラミックスを強化したもの |
¥66,000 |
ダイレクトボンディング(ハイブリッドセラミック) |
![]() |
全ての歯 |
・セラミックの粒子が多く混ざっている高品質なレジンを使用、即日治療ができる |
¥33,000 |
ゴールドインレー |
![]() |
小臼歯、大臼歯 |
・展延性に優れるため咬む力が強くても壊れにくい |
時価 |
保険診療の被せ物について
「保険でしっかり治したい」「まずは保険診療の範囲で…」という方へ。
当院では保険診療においても、できる限り見た目や機能に配慮した治療を行っています。
銀歯
強度が高く、奥歯に適している
金属色で目立つ、金属アレルギーになる可能性がある
銀が錆びると2次虫歯のリスクが生じる
保険適用:◎
CAD/CAM冠
保険内で白くできる、プラスチックの被せ物
吸水性があるため接着セメントの劣化による脱離、変色が起こり得る
汚れが付きやすい
保険適用:◎(一部制限あり)
レジン前装冠(前歯)
前歯を白くできるが、時間経過で変色しやすい
銀が錆びると2次虫歯のリスクが生じる
中は金属なので、歯ぐき付近が黒く見える場合もある
保険適用:◎
保険補綴の比較表
| 種類 | 見た目 | 耐久性 | 金属使用 | 費用目安 |
|---|---|---|---|---|
銀歯 |
✕(銀色) |
◯ |
あり |
¥5,000前後 |
CAD/CAM冠 |
△(白いが変色) |
△ |
なし |
¥8,000前後 |
レジン前装冠 |
△(変色) |
◯ |
あり |
¥10,000前後 |
保険でもしっかり治療はできますが材質上、経年劣化が起こります。
銀歯の錆びてしまった部分、プラスチックの欠けてしまった部分から2次むし歯になる可能性が高いです。
「もっと自然にしたい」「被せ物を長持ちさせたい」「2次むし歯にならずに歯の寿命をのばしたい」という方には、自由診療の被せ物をおススメしております。
自由診療の被せ物について
種類 |
写真 |
対象部位 |
特長 |
費用(税込) |
|---|---|---|---|---|
ジルコニアセラミッククラウン |
![]() |
前歯 |
・ジルコニアの上にセラミックを焼き付けたもの。 |
¥132,000 |
フルジルコニアクラウン |
![]() |
奥歯 |
・人工ダイヤモンドで作ったもの透明感は無い |
¥121,000 |
ジルコニアクラウン |
![]() |
奥歯 |
・人工ダイヤモンドで作ったもので頑丈である |
¥99,000 |
メタルセラミッククラウン |
![]() |
すべての歯 |
・金属の上にセラミックを焼き付けたもの |
¥165,000 |
E-MAX |
![]() |
前歯~小臼歯 |
・透明感◎ とても綺麗 |
¥121,000 |
ゴールドクラウン |
![]() |
奥歯 |
・展延性が高くかみ合わせの強い方にはとても相性が良く歯や顎に負担をかけにくい |
時価 |
各種検査
咬み合わせ検査 |
19,800円 |
唾液検査(成人) |
5,500円 |
唾液検査(未成年) |
3,300円 |
歯科保存治療
精密虫歯治療 |
33,000円 |
ダイレクトボンディング |
33,000円 |
セラミックインレー |
66,000円 |
仮歯
仮歯 |
3,300〜6,600円 |
金属付き仮歯 |
8,800〜円(金属量による) |
仮歯調整 |
1歯につき1,100円(2歯以降は追加で1,100円) |
仮入れ歯 |
16,500〜円(設計による) |
仮入れ歯の調整、修理 |
1,100円~5,500円 |
入れ歯治療
金属床義歯 |
275,000~円(金属量による) |
金属の目立たないノンクラスプ入れ歯 |
110,000~円 |
内面が柔らかいシリコンの入れ歯 |
110,000~円 |
上記3つの特徴を組み込んだオーダーメイド入れ歯 |
165,000~円 |
歯周病治療
自費ブラッシング指導 |
5,500円 |
歯周組織再生療法 |
88,000〜円(手術範囲、薬剤の種類や量による) |
歯肉移植 |
33,000~円(手術範囲による) |
歯冠延長術 |
33,000円 |
インプラント治療
サージカルガイド |
33,000円 |
インプラント埋入手術費用 |
1本につき220,000円 |
アバットメント装着料 |
55,000円~77,000円 |
上部構造 |
被せ物費用に準ずる |
インプラント用仮歯 |
11,000円 |
※インプラント治療における追加手術 |
|
GBR |
55,000〜円(手術範囲、骨補填材の種類や量による) |
歯肉移植 |
33,000〜77,000円 |
矯正歯科
便宜抜歯 |
6,600円 |
ワイヤーによる補綴前矯正 |
55,000~550,000円 |
矯正調整料 |
1,100〜5,500円 |
インビザライン成人矯正 |
330,000~990,000円 |
インビザライン小児矯正 |
550,000円 |
マウスピース型保定装置 |
上下セットで22,000円 |
ホワイトニング
TIONホーム |
片顎16,500円両顎33,000円 |
スポーツ歯科
スポーツ用マウスガード |
11,000円 |
子供用スポーツ用マウスガード |
5,500円 |
マウスガード調整 |
1,100円 |









