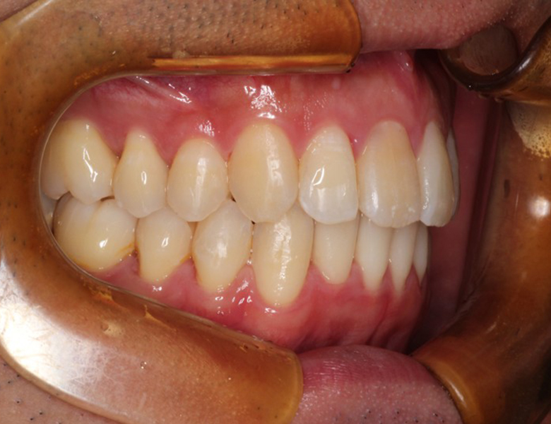
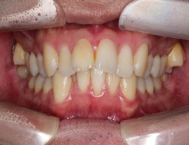
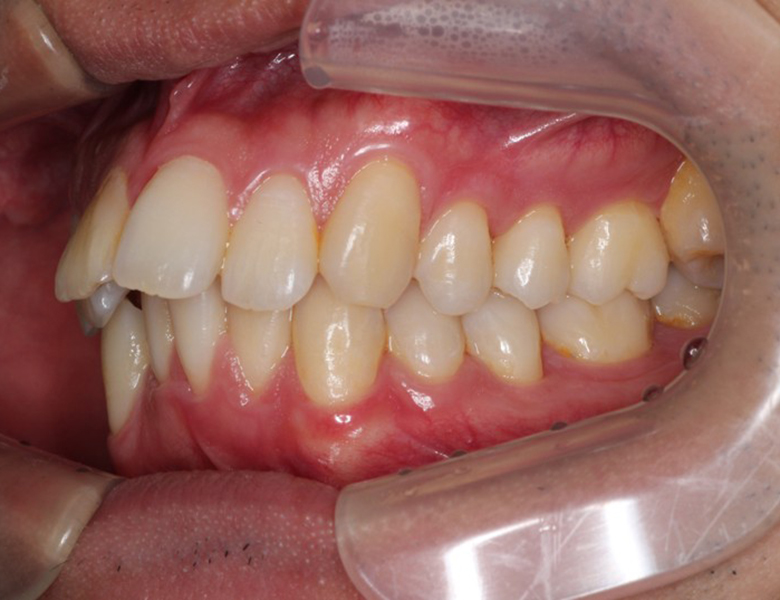
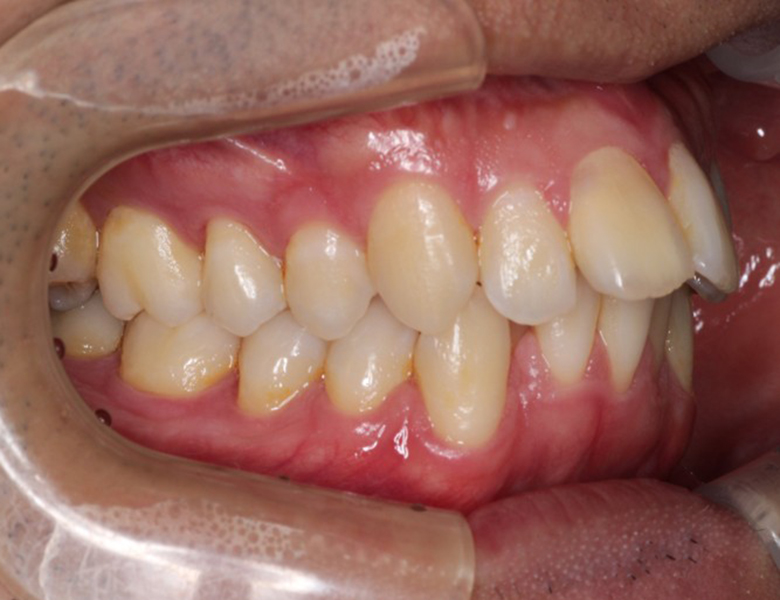
出っ歯が気になる/インビザライン矯正のケース
|
治療前
|
治療後
|
年齢・性別 |
24歳・男性 |
相談内容 |
出っ歯を治したいが、なるべく歯を抜きたくない |
行ったご提案・治療内容 |
マウスピース型歯科矯正装置インビザラインと非抜歯での治療をご希望されました。IPRとわずかな側方拡大を用いています。非抜歯ですが、上顎前歯をできる限り後方移動(リトラクション)する治療計画としました。 |
治療期間 |
2年2ヵ月 |
治療費 |
880,000円 |
治療のリスク |
疼痛、咬合時痛、知覚過敏、歯根吸収、歯肉退縮、ブラックトライアングルが生じる可能性があります。 |
マイデンタルオフィス藤が丘:https://mydo2021.com/
〒227-0043 神奈川県横浜市青葉区藤が丘1丁目36-3 アポラン藤が丘オリーブ館3F
電話:045-532-5380
電車でお越しの方:
東急田園都市線 藤が丘駅南口より徒歩1分
お車でお越しの方:
大型無料駐車場完備
