前歯が出ていて気になる 前歯が咬んでいない インビザライン治療のケース
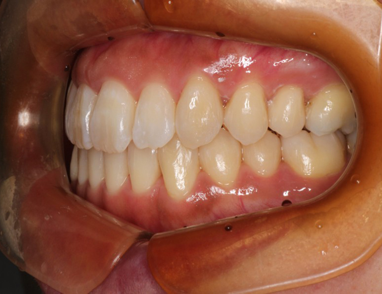
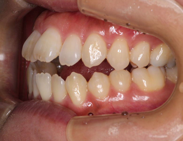
|
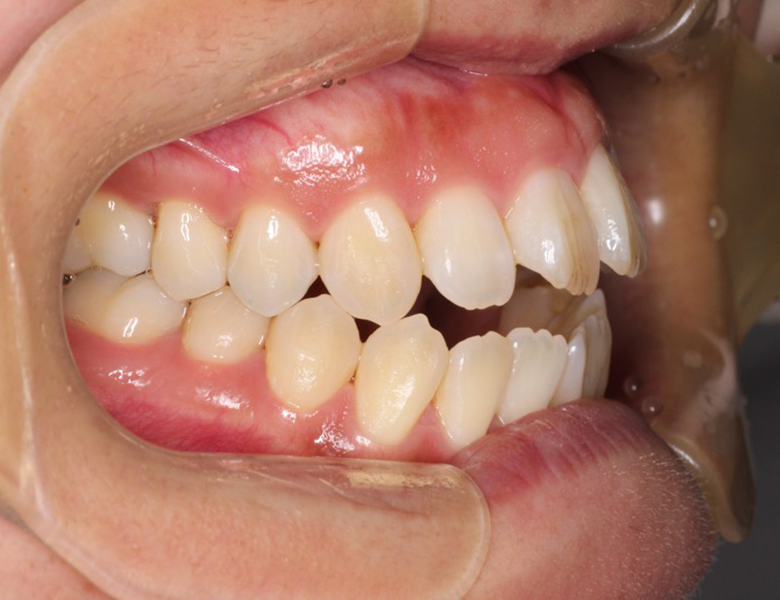
治療前
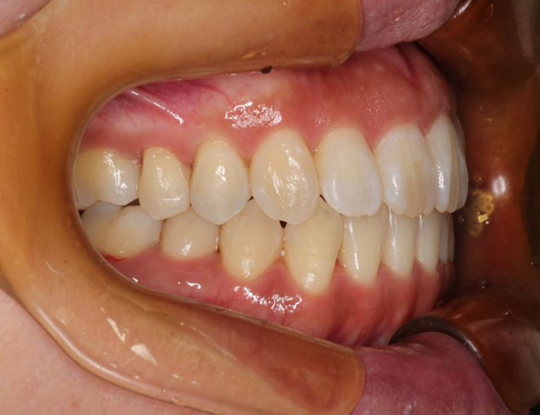
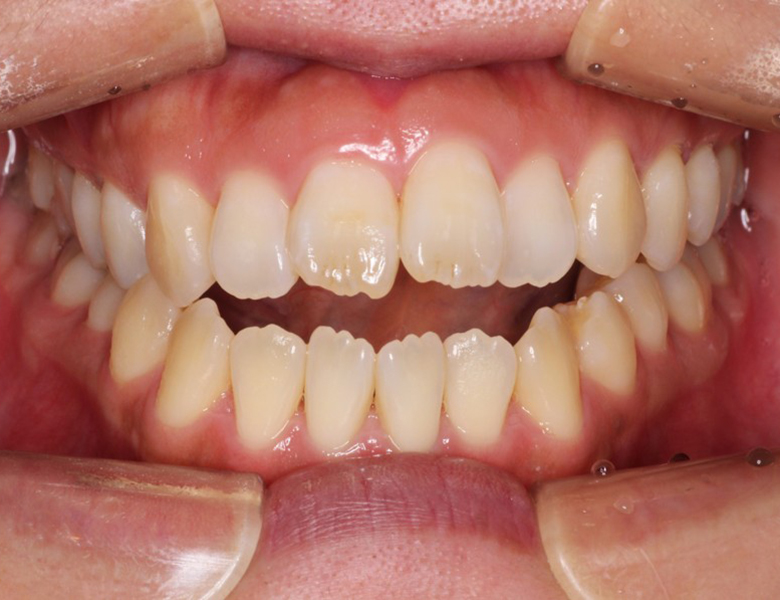
|
治療後
|
年齢・性別 |
31歳・女性 |
相談内容 |
前歯が出ていて気になる 前歯が咬んでいない |
行ったご提案・治療内容 |
前歯が閉じられない、前歯でものが噛めないという主訴でご来院されました。マウスピース型歯科矯正装置インビザラインと非抜歯での治療をご希望されました。 |
治療期間 |
2年4ヵ月 |
治療費 |
990,000円 |
治療のリスク |
疼痛、咬合時痛、知覚過敏、歯根吸収、歯肉退縮、ブラックトライアングルが生じる可能性があります。 |
マイデンタルオフィス藤が丘:https://mydo2021.com/
〒227-0043 神奈川県横浜市青葉区藤が丘1丁目36-3 アポラン藤が丘オリーブ館3F
電話:045-532-5380
電車でお越しの方:
東急田園都市線 藤が丘駅南口より徒歩1分
お車でお越しの方:
大型無料駐車場完備
