【小児矯正】子供の出っ歯が気になる インビザラインファーストの治療症例
|
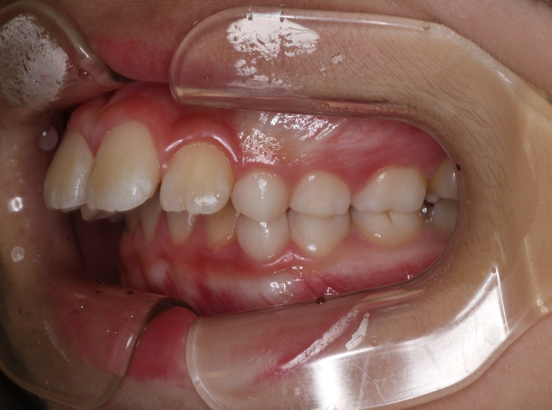
治療前
|
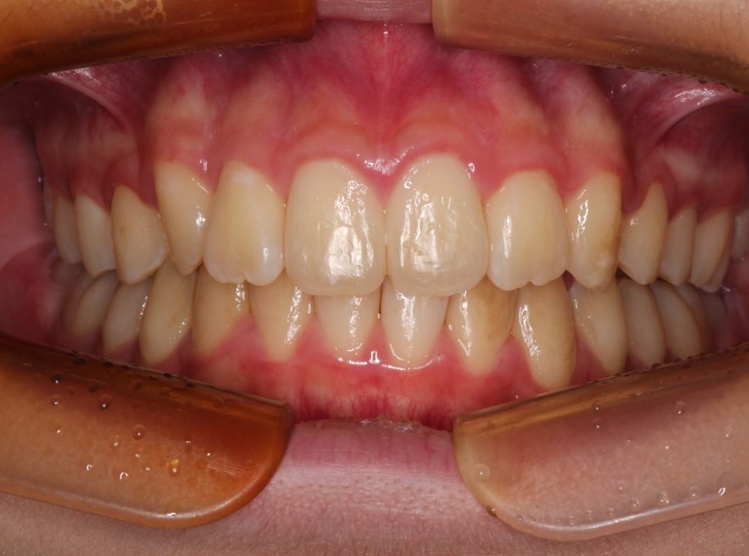
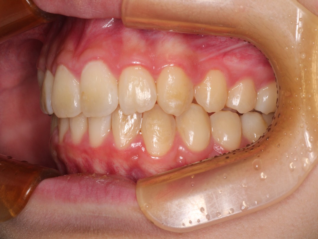
治療後
|
年齢・性別 |
9歳・女性 |
相談内容 |
出っ歯を治したい。永久歯が生えず不安に思っている。 |
行ったご提案・治療内容 |
出っ歯と下の永久歯が生えるスペースがないことを主訴にご来院されました。 |
術後の経過・現在の様子 |
Ⅰ期治療は前歯の歯並びだけを揃えましたが、奥歯の歯並びも綺麗にしたいとのことだったのでⅡ期治療も行いました。 |
治療期間 |
3年2ヵ月 |
治療費 |
990,000円 |
治療のリスク |
疼痛、咬合時痛、知覚過敏、歯根吸収、歯肉退縮、ブラックトライアングルが生じる可能性があります。 |
マイデンタルオフィス藤が丘:https://mydo2021.com/
〒227-0043 神奈川県横浜市青葉区藤が丘1丁目36-3 アポラン藤が丘オリーブ館3F
電話:045-532-5380
電車でお越しの方:
東急田園都市線 藤が丘駅南口より徒歩1分
お車でお越しの方:
大型無料駐車場完備
