歯が欠けて物が詰まりやすい ダイレクトボンディングによる虫歯治療
|
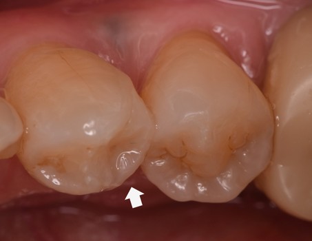
治療前
|
治療後 ![]() |
性別 |
女性 |
相談内容 |
歯が欠けた |
カウンセリング・診断結果 |
プラスチックが破損し、内部に2次虫歯ができていました |
行ったご提案・治療内容 |
虫歯が大きく、深いところまで削ったため次虫歯になってしまうと神経に虫歯菌が感染し神経を取る治療になる可能性が高いため、歯の寿命を延ばすためにダイレクトボンディングを提案させていただきました。 |
術後経過/現在の状態 |
痛みが出たり、欠けたりすることもなく経過は良好です。 |
治療期間 |
1週間 |
治療回数 |
2回 |
治療費 |
自由診療:33,000円 |
治療のリスク |
セラミックが多く配合されていることにより、経年劣化は従来の樹脂よりとても少ないですが、変色することがあります。 |
マイデンタルオフィス藤が丘:https://mydo2021.com/
〒227-0043 神奈川県横浜市青葉区藤が丘1丁目36-3 アポラン藤が丘オリーブ館3F
電話:045-532-5380
電車でお越しの方:
東急田園都市線 藤が丘駅南口より徒歩1分
お車でお越しの方:
大型無料駐車場完備

