歯が無い所にインプラントを入れたい
|
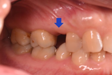
治療前
|
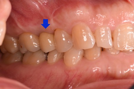
治療後 ![]() |
年齢・性別 |
60代 女性 |
相談内容 |
歯が無い所にインプラントを入れたい |
カウンセリング・診断結果 |
長期間、歯が無いままになっていたため隣の歯が動いてきてしまっており新しく歯を入れる隙間が減ってきている状態でした |
行ったご提案・治療内容 |
入れ歯・ブリッジ・インプラント |
治療期間 |
9ヶ月 |
治療費 |
468,600円 |
治療のリスク |
手術後は反応性の出血、腫れ、あざがでる場合がありますが時間経過とともに治ります。 |
マイデンタルオフィス藤が丘:https://mydo2021.com/
〒227-0043 神奈川県横浜市青葉区藤が丘1丁目36-3 アポラン藤が丘オリーブ館3F
電話:045-532-5380
電車でお越しの方:
東急田園都市線 藤が丘駅南口より徒歩1分
お車でお越しの方:
大型無料駐車場完備

