【小児矯正】子供の歯並び、八重歯が気になる インビザラインファーストの治療症例
|
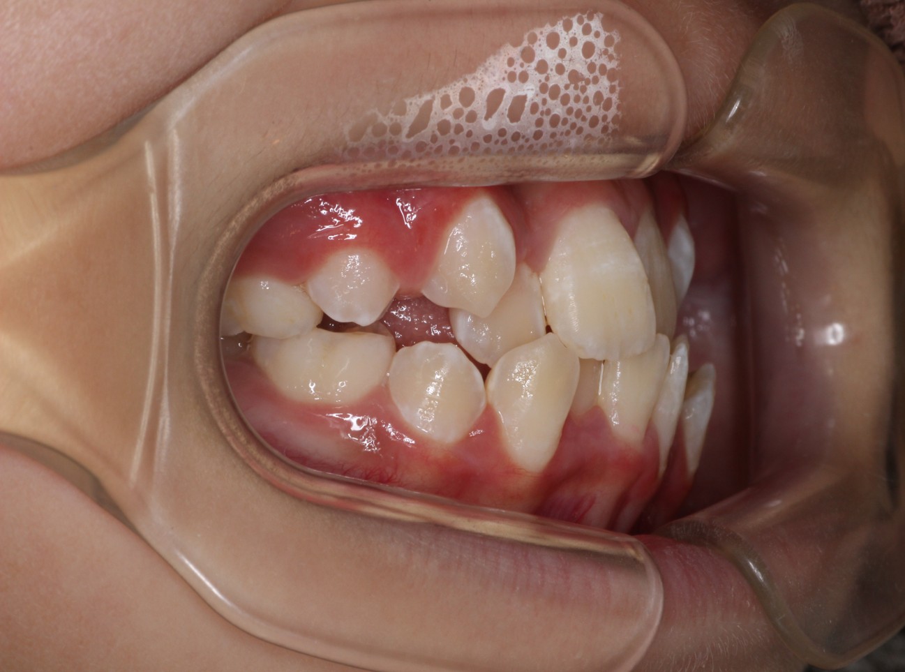
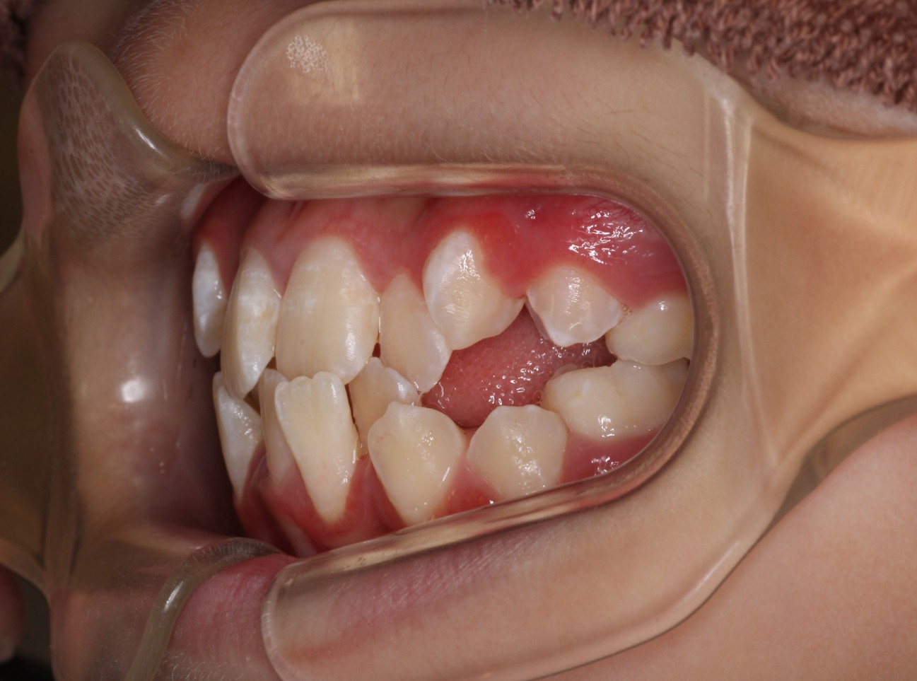
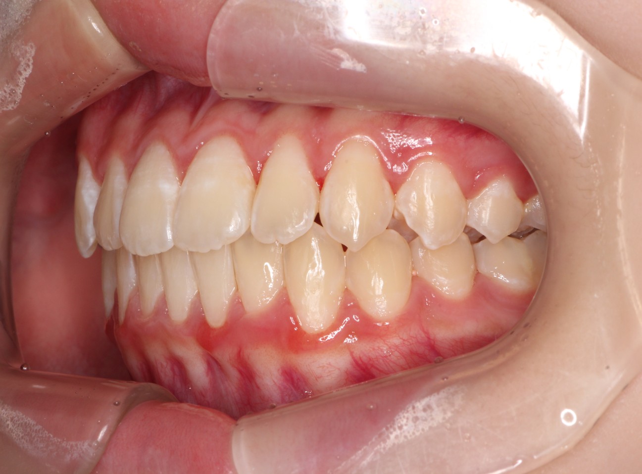
治療前
|
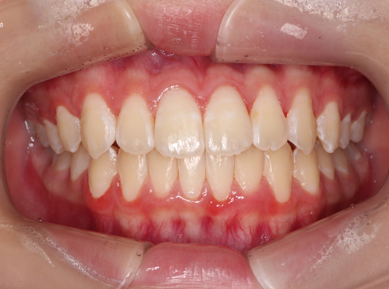
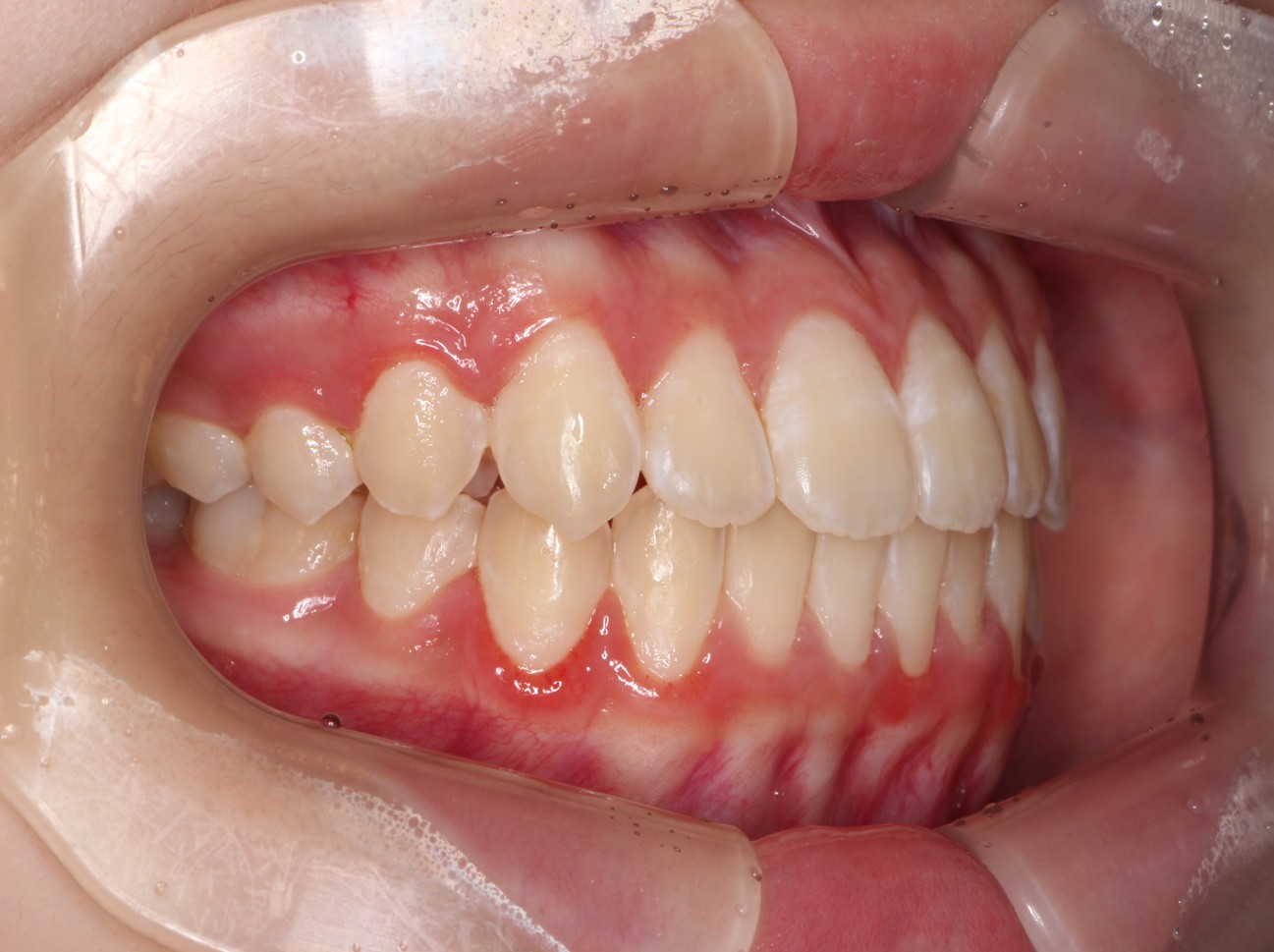
治療後
|
年齢・性別 |
9歳・女性 |
相談内容 |
前歯の歯並びを治したい。 |
行ったご提案・治療内容 |
八重歯を主訴にご来院されました。マウスピース型歯科矯正装置インビザラインと非抜歯での治療をご希望されました。 |
術後の経過・現在の様子 |
Ⅰ期治療は前歯の歯並びだけを揃えましたが、奥歯の歯並びも綺麗にしたいとのことだったのでⅡ期治療も行いました。 |
治療期間 |
2年7カ月 |
治療費 |
990,000円 |
治療のリスク |
疼痛、咬合時痛、知覚過敏、歯根吸収、歯肉退縮、ブラックトライアングルが生じる可能性があります。 |
マイデンタルオフィス藤が丘:https://mydo2021.com/
〒227-0043 神奈川県横浜市青葉区藤が丘1丁目36-3 アポラン藤が丘オリーブ館3F
電話:045-532-5380
電車でお越しの方:
東急田園都市線 藤が丘駅南口より徒歩1分
お車でお越しの方:
大型無料駐車場完備
