歯並びが気になる/ガタつきが気になる インビザライン矯正のケース
|
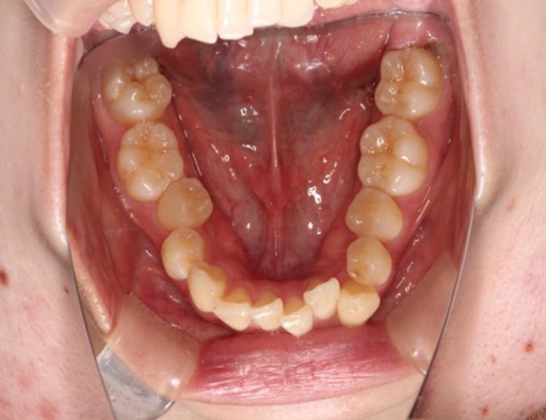
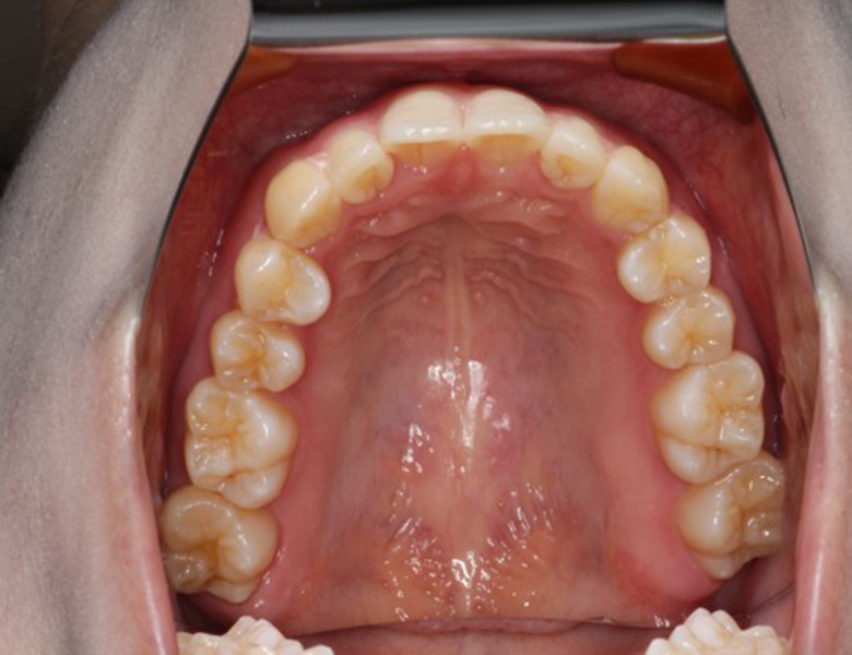
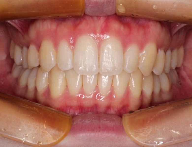
治療前
|
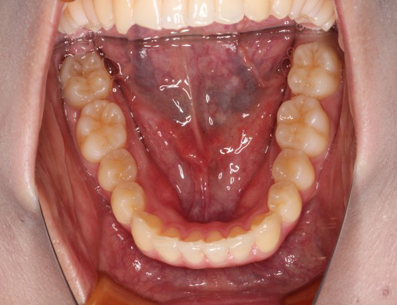
治療後
|
年齢・性別 |
25歳・女性 |
相談内容 |
歯並びが全体的に悪く、ガタつきが見られるためマウスピース矯正で治したい。 |
行ったご提案・治療内容 |
上下の前歯のガタツキと上下正中線のズレを主訴にご来院されました。マウスピース型歯科矯正装置インビザラインと非抜歯での治療をご希望されました。IPRとわずかな側方拡大を用いています。顎間ゴム(エラスティック)は使用しませんでしたが、上下正中を一致させて治療終了となりました。 |
治療期間 |
1年5ヵ月 |
治療費 |
880,000円 |
治療のリスク |
疼痛、咬合時痛、知覚過敏、歯根吸収、歯肉退縮、ブラックトライアングルが生じる可能性があります。 |
マイデンタルオフィス藤が丘:https://mydo2021.com/
〒227-0043 神奈川県横浜市青葉区藤が丘1丁目36-3 アポラン藤が丘オリーブ館3F
電話:045-532-5380
電車でお越しの方:
東急田園都市線 藤が丘駅南口より徒歩1分
お車でお越しの方:
大型無料駐車場完備
