金具の目立たない入れ歯を作りたい オーダーメイド入れ歯を作製した症例
|
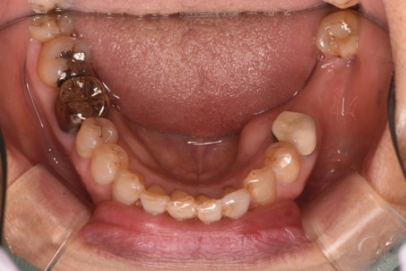
治療前
|
治療後 ![]() |
性別 |
女性 |
相談内容 |
歯が無い部分があるので、新しく入れ歯を作りたい |
カウンセリング・診断結果 |
左下奥歯に歯が無い状態で、入れ歯の支えになる歯が強い咬み合わせで負担がかかり、揺れていました。 |
行ったご提案・治療内容 |
まずは咬み合わせの調整を行い、入れ歯の支えになる歯の動揺を減らしてから入れ歯の作製を始めました。 |
術後経過/現在の状態 |
使い始めは違和感があったみたいですが、入れ歯にも慣れていただき現在は快適に咬めているとのことでした。 |
治療期間 |
1ヶ月 |
治療回数 |
3回 |
治療費 |
自由診療:165,000円 |
治療のリスク |
治療の効果には個人差があります。 |
マイデンタルオフィス藤が丘:https://mydo2021.com/
〒227-0043 神奈川県横浜市青葉区藤が丘1丁目36-3 アポラン藤が丘オリーブ館3F
電話:045-532-5380
電車でお越しの方:
東急田園都市線 藤が丘駅南口より徒歩1分
お車でお越しの方:
大型無料駐車場完備

