歯が欠けて、嫌なにおいがする 根管治療のやり直し
|
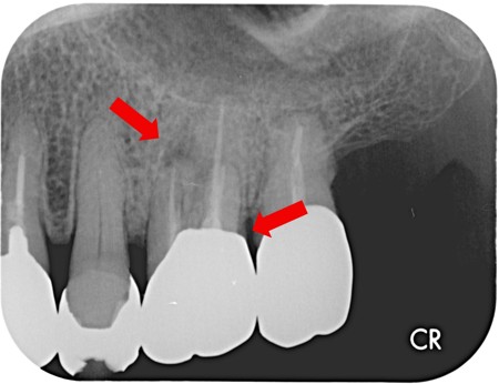
治療前
|
治療後 ![]() |
性別 |
女性 |
相談内容 |
銀歯か欠けていて、臭い匂いがする |
カウンセリング・診断結果 |
銀歯の縁の部分が欠けています。 |
行ったご提案・治療内容 |
昔、虫歯治療を行い神経を取った歯になります。 |
術後経過/現在の状態 |
根の先まで薬を入れることができました。 |
治療期間 |
2ヶ月 |
治療回数 |
7回 |
治療費 |
保険診療:15,000円前後 |
治療のリスク |
根管治療により類似の全ての症例の問題が解決するわけではございません。 |
マイデンタルオフィス藤が丘:https://mydo2021.com/
〒227-0043 神奈川県横浜市青葉区藤が丘1丁目36-3 アポラン藤が丘オリーブ館3F
電話:045-532-5380
電車でお越しの方:
東急田園都市線 藤が丘駅南口より徒歩1分
お車でお越しの方:
大型無料駐車場完備

